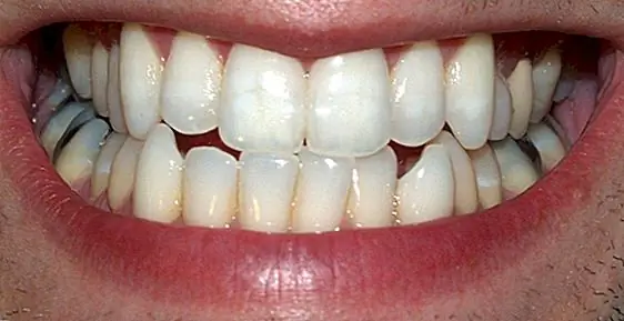
Выпечка соды делает хороший дешевый отбеливатель зубов

Выпечка соды делает хороший дешевый отбеливатель зубов
Выпечка соды делает хороший дешевый отбеливатель зубов

Выпечка соды, также известная как бикарбонат натрия, при растворении в воде выделяет свободные радикалы, которые проникают в поверхность вашей эмали, сочетаясь с пятнами в зубах и разрушая двойные связи углерода, что помогает удалить пятна. Таким образом, он отбеливает, избавляясь от пятен, а не от многих коммерческих отбеливателей, которые более или менее просто пытаются отбеливать ваши белые зубы.

Чтобы почистить зубы пищевой содой, просто смешайте соду для выпечки с небольшим количеством воды, чтобы создать красивую густую пасту и нанести ей зубы. Теперь дайте ему посидеть четыре или пять минут, затем снова начистите и промойте.

Следует отметить, что пищевая сода не должна использоваться слишком часто из-за того, что она может слишком долго разъедать эмаль в зубах, если ее использовать слишком часто. Таким образом, он не должен использоваться более четырех или пяти раз в месяц в качестве отбеливателя зубов.

Факты о выпечке соды:

  • Пищевая сода, бикарбонат натрия, естественно, встречается во многих минеральных источниках, где она добывается. Он также может быть искусственно изготовлен. Естественная минеральная форма называется нахколит.
  • Древние египтяне использовали нахколит в качестве очищающего раствора.
  • Выпекающий порошок немного отличается от пищевой соды. Выпекающий порошок содержит пищевую соду в сочетании с каким-то кислым агентом, обычно кремом из зубного камня, а затем сушащим агентом, обычно крахмалом. Вы можете сделать свой собственный порошок для выпечки, смешав 2 части крема из тартара до 1 части пищевой соды, затем одну часть кукурузного крахмала.
  • Выпекающий порошок доступен в вариантах однократного действия и двойного действия. Однократный порошок активируется влажностью (начинается барботирование). Двойное действие несколько реагирует с водой, но сильнее с теплом.
  • Делает отличный агент для тушения пожаров всех типов.
  • Хорошо работает для очистки овощей и фруктов, удаления инсектицидов и грязи. Посыпьте немного на продукт, затем промойте.
  • Помогает вытаскивать масляные и жирные пятна на одежду при добавлении к вашей стирке.
  • Как и активированный уголь, пищевая сода делает потрясающую работу по удалению химически запахов и других запахов из воздуха.
  • Хорошо работает как средство для удаления пятен, особенно на пластиковых поверхностях или мраморе. Смешайте тонкую пасту пищевой соды и воды и вычистите окрашенную поверхность. Подобно тому, как он разрушает пятна в зубах, он разрушает пятна на других поверхностях.
  • Периодически чистите посудомоечную машину, добавив чашку выпечки соды к пустой загрузке и запустите ее.
  • Помогает удалить сожженную пищу из сковородок. Замочите кастрюлю в течение приблизительно 10 минут в растворе воды и пищевой соды. Чем хуже сжигается пища, тем больше выпекайте соду на единицу воды, которую вы должны добавить.
  • Хорошо работает как хром и нержавеющая сталь.
  • Если вы курильщик, смешайте пищевую соду в пепельнице, чтобы помочь устранить запах сигарет.
  • Если ваши ботинки / ноги пахнут, посыпьте немного творожной соды на носки, чтобы устранить запах.
  • Добавление 1/2 чашки к чашке выпечки соды в ванну поможет смягчить вашу кожу. Для младенцев добавьте около 2-4 столовых ложки пищевой соды к их воде для ванн, и это поможет снять сыпь подгузников.
  • Выпечка соды поможет облегчить зуд и дискомфорт от укусов насекомых, сыпи, ветряной оспы, ядовитого плюща и т. Д.
  • 1/2 чайной ложки пищевой соды в приблизительно 4-6 унциях воды поможет облегчить кислотное расстройство желудка или изжогу.
  • Полоскание выпечки содовой воды будет освежать ваше дыхание и очистить рот.
  • Выпечка соды также творит чудеса на боль в ране.
  • Получил солнечный ожог? Нанесите тонкую пасту выпечки соды и воды на сгоревшую область, чтобы успокоить боль.
  • Хорошо работает как дезодорант подмышек.
  • Если вам посчастливилось охотиться на птиц, вы обнаружите, что перья легче оторваться, если вы ошпариваете их, добавляете выпечку соды к кипящей воде. Это также поможет очистить плоть.
  • Выпечка соды хорошо работает как естественное решение типа «Rain-X» на лобовых стеклах. Налейте пищевую соду на лобовое стекло, а затем протрите влажной тряпкой как внутри, так и снаружи.
  • Хорошо работает как средство для сухой чистки на таких вещах, как задние пакеты и другие материалы для холста.
  • Одна часть соды для выпечки, смешанная с двумя частями измельченной овсяной муки, делает большой скраб для лица.
  • Хорошо подходит для чистки щетки для волос, которые с течением времени становятся очень жирными, если их не чистить не менее одного раза в месяц.
  • Выпечка соды делает большой природный агент шампуня / кондиционера. Он удалит масло из ваших волос и очистит его, а также сделает его мягким.
  • Налейте пищевую соду в забитый слив, за которым следует уксус. Дайте ему пузыриться в течение нескольких минут, затем промойте его горячей водой.
  • Чайная ложка или около того пищевой соды, взятой с продуктами, которые дают вам газ, резко сократит или устранит проблему с газом.
  • Выпечка соды делает большой естественный, дешевый очиститель печи.
  • Посыпьте соду для выпечки на вашей ткани и ковровой дорожке, дайте ей посидеть в течение нескольких часов, затем вакуумируйте ее, чтобы избавиться от запахов.
  • Выпечка соды, смешанная с небольшим количеством воды и зубной пасты, сделает эффективную пасту, которая будет использоваться для избавления от водяных колец в деревянной мебели.
  • Чтобы освежить запах вашего автомобиля, посыпьте пищевую соду вокруг вашего интерьера, а затем через несколько часов высушите ее. Вы также можете заполнить пепельницу пищевой содой и оставить ее, чтобы ежедневно избавляться от запахов.
  • Очистка от коррозии терминалов автомобильных аккумуляторов с помощью пищевой пасты поможет сохранить ваши терминалы в чистоте и чистоте. Он также нейтрализует кислоту на терминалах, что сделает их более безопасными для прикосновения. Вытрите пасту с клемм сухой тряпкой.
  • Маленькая пищевая сода, посыпанная в нижней части коробки для мусора кошки, резко уменьшит запахи от мусора и кошки.
  • Если у вас есть проблема с муравью или тараканом в вашем доме, посыпьте пищевую соду, смешанную с солью, вокруг областей, которые вы их заметили. Они уйдут.
  • Пищевая сода, смешанная с белой зубной пастой и, возможно, пищевой окраской (при необходимости), делает приличный шпатель для ремонта отверстий в стене.
  • Для вас, садовников, если вы не уверены, что ваша почва кислая, смешайте четверть чашки выпечки соды с двумя чашками воды; теперь перемешать в чашке почвы. Если он вспенивается, то почва кислая.
  • Если вас утомляет медуза, нанесите пищевую соду на угрюмую область, чтобы облегчить вашу боль. Он также отлично работает на пчелиных укусах.
  • Прочистите нос, смешав соду с горячей водой и вдыхайте пары.
  • Добавление пищевой соды к вашей воде вазы поможет сохранить срезанные цветы, выглядящие свежими дольше.
  • Если у вас возникла проблема с кроликами, поедающими овощи в вашем саду, посыпьте несколько соков для выпечки вокруг сада и овощей, чтобы не допустить их.
  • Выпекающая сода, разбрызгиваемая в почву вокруг растений томатов, сделает их слаще.
  • Сделайте отличный спортивный напиток, смешав кипяченую воду с пищевой содой, солью и капустой.
  • Сырая рыба, пропитанная раствором пищевой соды, поможет удалить рыбный запах от рыбы, когда вы ее готовите.
  • Половинная чайная ложка пищевой соды, добавленной к кажущимся три яйца, приготовленным, сделает их пушистыми.
  • Добавьте в туалет чашку или две соды, затем через несколько часов промойте. Он очистит его почти без работы с вашей стороны, а также избавится от запахов.
  • Ложка, наполненная пищевой содой, добавленная к вашей посудомоечной машине, каждая нагрузка поможет лучше очистить посуду и удалить запахи из посудомоечной машины, как указано выше.
  • Отлично подходит для удаления смазочных и масляных пятен в вашем гараже или подъездной дорожке.
  • Делает отличное решение для чистки душевых штор.